
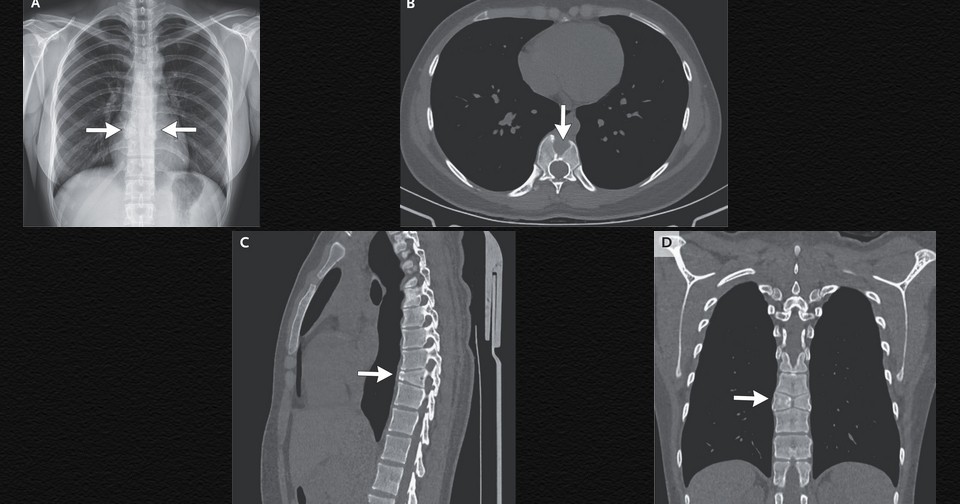
В китайскую пульмонологическую клинику обратилась 21-летняя женщина с жалобами на кашель и першение в горле в течение недели. При осмотре определялось только умеренное покраснение глотки. Болей в спине в анамнезе она не отмечала. На рентгенограмме органов грудной клетки у пациентки визуализировались нормальные легкие и два полупозвонка на месте тела девятого грудного позвонка. Ее направили на компьютерную томографию, которая выявила сагиттальное расщепление, переднюю клиновидную деформацию и симметричные треугольные полупозвонки на уровне девятого грудного позвонка. Шуай Дин (Shuai Ding) и Синь Пань (Xin Pan) из Четвертой аффилированной больницы Китайского медицинского университета в Шэньяне поделились этим случаем в The New England Journal of Medicine.
На основании данных радиографической находки женщине поставили диагноз бабочковидного позвонка — редкой врожденной аномалии, обусловленной отсутствием слияния двух латеральных центров окостенения позвонка в процессе внутриутробного развития. Этот дефект может быть изолированным, как в данном случае, или сочетаться с другими аномалиями развития. Дополнительное обследование профильными специалистами подтвердило доброкачественный характер заболевания и отсутствие потребности в специальном лечении. Кашель и першение в горле сочли проявлениями неосложненной инфекции верхних дыхательных путей и назначили поддерживающую терапию.



